Перейти к публикации

Рекомендованные сообщения

Задание  № 12 . 

на   фото- рентгеновский   снимок .

1. какая   часть    тела    человека    на   снимке?

2. есть  ли   перелом?

Ответ   17.01.26 после  16.00  по   мскв . 

 

рентген — копия.jpg

Изменено пользователем airin

IMPERARE SIBI MAXIMUM IMPERIUM EST - Власть над собой - высшая власть.

Призови свою тьму, прислушайся к ней, испей от нее и пройди сквозь нее..

Ссылка на сообщение
Поделиться на других сайтах
  • Ответы 87
  • Создано
  • Последний ответ

Лучшие авторы в этой теме

Лучшие авторы в этой теме

Популярные сообщения

Ответ на Задание №1 @airin @Kashaya @M_Yukka @Лотос @Sowa Всем спасибо за участие. И с почином в новой теме )

Ответ на Задание №4 @airin @Rascvet Дамы, спасибо за участие 🌻

Ответ  на   задание   №  17 .  @Vesta @Sowa @Юнона   Дамы,  благодарю  за   участие    в    задании  и   отличные   ответы)

Опубликованные изображения

@airin  задание №12

попробую

Скрытый текст

 

без карт

левая стопа. Сильный ушиб, возможно с трещиной, но без перелома

 

 

 

 

Ссылка на сообщение
Поделиться на других сайтах

@airin12 

Скрытый текст

Нога , голень нижня треть , голеностоп , перелома не ощущается, вывих или растяжение .. 

 

Ссылка на сообщение
Поделиться на других сайтах

Ответ  на  задание   № 12. 

@Юнона

Скрытый текст

 

14.01.2026 в 19:40, Юнона сказал:

без карт

левая стопа. это   рука,  конечность,   верно. Сильный ушиб, возможно с трещиной, но без перелома

 

 

 

 

@Sowa

Скрытый текст

 

14.01.2026 в 20:00, Sowa сказал:

Нога , голень   это  конечность,   но  рука...нижняя треть , голеностоп , перелома не ощущается, вывих или растяжение

 

 

 

Скрытый текст

 

на   снимке-  рука.

имеет  место   перелом лучевой   кости со  смещением.

рентген.jpg

 

Благодарю  за   участие  в  задании) 🌹

Изменено пользователем airin

IMPERARE SIBI MAXIMUM IMPERIUM EST - Власть над собой - высшая власть.

Призови свою тьму, прислушайся к ней, испей от нее и пройди сквозь нее..

Ссылка на сообщение
Поделиться на других сайтах
  • 2 недели спустя...

Задание  №   13 . 

и  снова   -  на   фото- рентгеновский   снимок ,   попробуем   стать  эзо- рентгенологами,  и определить,  

1. какие   части    тела    человека    на   снимке? ( варианты-   рука,  нога,  грудная   клетка,   голова,    -  !!   возможны   комбинации  локализации) 

2. есть  ли   перелом?

ответ   31.01.26    после   16.00  по  мскв .

 

i — копия.jpg

IMPERARE SIBI MAXIMUM IMPERIUM EST - Власть над собой - высшая власть.

Призови свою тьму, прислушайся к ней, испей от нее и пройди сквозь нее..

Ссылка на сообщение
Поделиться на других сайтах

@airin 13

Скрытый текст

 

Колесо Года

Влюбленные Принцесса Жез 6 Пент - Думаю нет перелома

Части тела: 10 Жез 3 Пент 2 Мечей - Акцент идет на спину - позвоночник, но так как этого варианта нет,  смотря на изображение карт мысли как будто бы рентген локтевого сустава - получается рука.

 

 

Ссылка на сообщение
Поделиться на других сайтах

@airin Задание 13

Скрытый текст

 

без карт

28.01.2026 в 17:37, airin сказал:

1. какие   части    тела    человека    на   снимке? ( варианты-   рука,  нога,  грудная   клетка,   голова,    -  !!   возможны   комбинации  локализации) 

мне упрямо видится голова и грудная клетка. Но как это может быть разом на одном снимке в реальности не представляю. Но все таки там череп на рентгене

28.01.2026 в 17:37, airin сказал:

2. есть  ли   перелом?

есть . Череп - лобная доля. 

 

 

 

 

Ссылка на сообщение
Поделиться на других сайтах

@airin13

Скрытый текст

Снимок грудной клетки , с включением плечевых костей  и черепа . Как будто со спины снят . Перелом есть . Трещины ребер . Перелом ключицы . 

 

Ссылка на сообщение
Поделиться на других сайтах

Ответ  на   Задание  №  13 . 

@Wiere

Скрытый текст

 

28.01.2026 в 22:17, Wiere сказал:

Колесо Года

Влюбленные Принцесса Жез 6 Пент - Думаю нет перелома

Части тела: 10 Жез 3 Пент 2 Мечей - Акцент идет на спину - позвоночник, верно,   там   видно  его!  но так как этого варианта нет,  смотря на изображение карт мысли как будто бы рентген локтевого сустава - получается рука.   рука  есть  на   снимке

 

 

 

 

@Юнона

Скрытый текст

 

29.01.2026 в 20:47, Юнона сказал:

без карт. 

мне упрямо видится голова и грудная клетка. верно))Но как это может быть разом на одном снимке в реальности не представляю. Но все таки там череп на рентгене 

29.01.2026 в 20:47, Юнона сказал:

перелом  есть .ага))   есть) но   перелом   ключицы.  Череп - лобная доля. 

 

 

 

 

@Sowa

Скрытый текст

 

29.01.2026 в 22:14, Sowa сказал:

Снимок грудной клетки , с включением плечевых костей  и черепа . Как будто со спины снят . Перелом есть . Трещины ребер . Перелом ключицы .  Браво!! Вы   МОЛОДЕЦ!) 

 

 

 

Скрытый текст

 

На   рентгеновском    снимке:  часть  грудной   клетки,  плечевой  пояс  и   рука.

И   перелом   КЛЮЧИЦЫ. 

22.jpg

 

Дамы,    отличные  ответы  на   сложное  задание!)  Благодарю  всех   за   участие  в  задании) 🌷🌺🌻

_____________ 
Добавлено 17 minutes later

рентген 2 — копия.jpg

Изменено пользователем airin

IMPERARE SIBI MAXIMUM IMPERIUM EST - Власть над собой - высшая власть.

Призови свою тьму, прислушайся к ней, испей от нее и пройди сквозь нее..

Ссылка на сообщение
Поделиться на других сайтах

Задание   №  14 .

Продолжим?)  -  на   фото- рентгеновский   снимок ,   попробуйте   определить,  

1. какие   части    тела    человека    на   снимке? 

2. есть  ли   перелом?

Ответ  05.02.26    после  09.00   по   мскв  .

 

рентген 2 — копия.jpg

Изменено пользователем airin

IMPERARE SIBI MAXIMUM IMPERIUM EST - Власть над собой - высшая власть.

Призови свою тьму, прислушайся к ней, испей от нее и пройди сквозь нее..

Ссылка на сообщение
Поделиться на других сайтах

@airin14 задание 

Скрытый текст

По ощущениям, нижняя часть тела . Будто тазовый пояс, перелом есть , шейка бедра со смещением . Возможно, еще и перелом компрессионный нижних поясничных позвонков . 

 

Ссылка на сообщение
Поделиться на других сайтах

@airin 14

Скрытый текст

 

Таро Книга Теней Том 2 

10 Пент Король Пент 2 Мечей - Нет перелома

Шут 3 Куб 7 Жез - Мысль зацепилась за ноги, колено, ступня. (Еще как вариант запястье, смотря на изображения карт)

 

 

Изменено пользователем Wiere
Ссылка на сообщение
Поделиться на других сайтах

Ответ  на   Задание   №  14 .

@Sowa

Скрытый текст

 

01.02.2026 в 14:01, Sowa сказал:

По ощущениям, нижняя часть тела . Будто тазовый пояс,   есть ,перелом  шейка бедра со смещением . Возможно, еще и перелом компрессионный нижних поясничных позвонков

Абсолютно   верно)🏅 перелом   позвонков,   поясничный  отдел.  Скорее   всего-  травма..

 

 

 

@Wiere

Скрытый текст

 

23 часа назад, Wiere сказал:

Таро Книга Теней Том 2 

10 Пент Король Пент 2 Мечей - Нет перелома

Шут 3 Куб 7 Жез - Мысль зацепилась за ноги,    верно,   нижняя   часть  тела,   тазовый  пояс,  видно   бедр

енные   кости .  колено, ступня. (Еще как вариант запястье, смотря на изображения карт)

 

 

 

 

Скрытый текст

 

1. какие   части    тела    человека    на   снимке?  Основное-  нижняя    часть  Позвоночного   столба   и   кости  таза,   "  в   кадр "   частично  попали  ребра и бедренные   кость  с  одной   стороны 

2. есть  ли   перелом? да,   есть   перелом   позвоночника. 

рентген 2.jpg

 

Благодарю  за   участие   в   сложном  задании  ) Молодцы!) 

Изменено пользователем airin

IMPERARE SIBI MAXIMUM IMPERIUM EST - Власть над собой - высшая власть.

Призови свою тьму, прислушайся к ней, испей от нее и пройди сквозь нее..

Ссылка на сообщение
Поделиться на других сайтах

Задание   №   15 . 

И  снова -  на   фото- рентгеновский   снимок ,   попробуйте   определить,  

1. какая  ЧАСТЬ     тела    человека    на   снимке? 

2. есть  ли   перелом?

Ответ  11.02.26      после  17.00   по   мскв  .

рентген.jpg

Изменено пользователем airin

IMPERARE SIBI MAXIMUM IMPERIUM EST - Власть над собой - высшая власть.

Призови свою тьму, прислушайся к ней, испей от нее и пройди сквозь нее..

Ссылка на сообщение
Поделиться на других сайтах

@airin15

Скрытый текст

Крупный сустав . Коленный , кости голени и коленная чашечка . Есть перелом осколок небольшой. 

 

Ссылка на сообщение
Поделиться на других сайтах

@airin Задание №15

Скрытый текст

 

проработка Таро Светлого Провидца

1. 2 кубков. 

Часть тела на снимке: рука от локтя до кИсти

2. 10 пентаклей

Перелома нет.

 

 

Изменено пользователем Юнона

 

 

Ссылка на сообщение
Поделиться на других сайтах

Ответ  на   Задание   №   15 . 

@Sowa

Скрытый текст

 

07.02.2026 в 21:08, Sowa сказал:

Крупный сустав . Коленный  округлость   верно  ощутили,   и  "крупный",   потому   как   ежели  смотрите    сами,   то   часто  визуализируете   и   то,   что   вне   снимка,   то  есть-  в  данном   задании- свод   черепа) ..  кости голени и коленная чашечка . Есть перелом верно!  осколок небольшой. 

 

 

 

@Юнона

Скрытый текст

 

08.02.2026 в 18:55, Юнона сказал:

проработка Таро Светлого Провидца

1. 2 кубков. 

Часть тела на снимке: рука от локтя до кИсти

2. 10 пентаклей  ну  показали  ..что   костей  то  много..и  крупные  есть..)

Перелома нет. 

вообще   мало   Арканов  на  такие  вопросы..имхо..ежели   смотрите  на Таро..🌷

 

 

 

Скрытый текст

 

на   снимке  череп, челюстная   часть, боковая   проекция   и   перелом   нижней   челюсти ( указала  стрелочкой) 

 Кому  то    "вдарили"  в  челюсть..)

1722638683-4059_1600x1200.jpg

 

 

 

Дамы,   благодарю  за   участие  в  сложных  заданиях,   Вы-  молодцы) 

Изменено пользователем airin

IMPERARE SIBI MAXIMUM IMPERIUM EST - Власть над собой - высшая власть.

Призови свою тьму, прислушайся к ней, испей от нее и пройди сквозь нее..

Ссылка на сообщение
Поделиться на других сайтах

Задание  №  16.

на  фото-  часть тела  человека  и  пораженный   участок   кожи  на  нем. 

1. какая  часть   тела   человека  на  фото?  (  голова,  рука,  нога,  грудная   клетка) .

2. определите  характер   поражения    кожного   покрова,   вариантов не даю,     то,   что   увидели-  то  и   отвечаете)

Ответ  19.02.26   после  17.00  по  мскв . 

 

 

 

здоровье — копия.jpg

Изменено пользователем airin

IMPERARE SIBI MAXIMUM IMPERIUM EST - Власть над собой - высшая власть.

Призови свою тьму, прислушайся к ней, испей от нее и пройди сквозь нее..

Ссылка на сообщение
Поделиться на других сайтах

@airin16 задание 

Скрытый текст

Грудная клетка , волдыри типа ожогов , розово красная окраска очагов , вокруг них изъязвлення  кожа . Ожоги или герпес . 

 

Ссылка на сообщение
Поделиться на других сайтах

Ответ  на  Задание   №   16 . 

@Sowa

Скрытый текст

 

15.02.2026 в 21:30, Sowa сказал:

Грудная клетка , волдыри типа ожогов , розово красная окраска очагов , вокруг них изъязвлення  кожа . Ожоги или герпес . 

 

 

 

Скрытый текст

 

Часть  тела- рука

Патология-  ожог,  2   степени  (стадия    волдыря))

здоровье.jpg

 

Благодарю  за   участие  в  задании    и  отличный   ответ)🌷

Изменено пользователем airin

IMPERARE SIBI MAXIMUM IMPERIUM EST - Власть над собой - высшая власть.

Призови свою тьму, прислушайся к ней, испей от нее и пройди сквозь нее..

Ссылка на сообщение
Поделиться на других сайтах

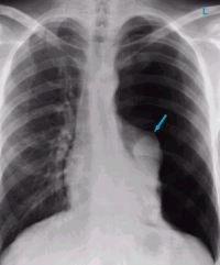
Задание   №  17 .

Перед  Вами-   рентгеновский   снимок  грудной    клетки .

есть  ли   травма?

Предположите   Диагноз . 

Ответ   25.02.25    после   17.00.по  мскв . 

i (1) — копия.jpg

Изменено пользователем airin

IMPERARE SIBI MAXIMUM IMPERIUM EST - Власть над собой - высшая власть.

Призови свою тьму, прислушайся к ней, испей от нее и пройди сквозь нее..

Ссылка на сообщение
Поделиться на других сайтах

@airin Задание №17
 

Скрытый текст

Таро РУ
2М - травмы НЕТ

На фото здоровый человек? - Справедливость - да
Это снимок спины? - 9 К - да

Это позвоночник? - 2Ж - да

Он здоровый? - 3 М - нет

Есть грыжи? - КП - да

Ответ: травмы нет,но есть некое застойное явление. Это позвоночный столб.

 

Ссылка на сообщение
Поделиться на других сайтах

@airin17

Скрытый текст

Травма есть , но перелома не ощущается. затемнение части легкого , как ощущение некоего обьема , и плотности тканей , кровоизлияние . Опухоль тоже возможна . 

 

Ссылка на сообщение
Поделиться на других сайтах

@airin задание 17

Скрытый текст

 

Без карт

Травмы нет.

Но дышится немного больно, как будто ушиб или бронхит.

 

 

 

 

Ссылка на сообщение
Поделиться на других сайтах

  Ответ  на   задание   №  17 . 

@Vesta

Скрытый текст


22.02.2026 в 11:56, Vesta сказал:

Таро РУ
2М - травмы НЕТ

На фото здоровый человек? - Справедливость - да
Это снимок спины? - 9 К - да

Это позвоночник? - 2Ж - да ну  он   "   в   кадре,   "   конечно  тоже)

Он здоровый? - 3 М - нет

Есть грыжи? - КП - да  может и   есть...но   тут  не  про   грыжи,  их на рентгене   малоинформативно  смотреть

Ответ: травмы нет,но есть некое застойное явление. вот  тут  близко:   коллабированое   ,  "поджатое"  легкое.  Это позвоночный столб.

🌺


 

@Sowa

Скрытый текст


22.02.2026 в 12:28, Sowa сказал:

Травма есть , но перелома не ощущается. затемнение части легкого , как ощущение некоего обьема , и плотности тканей , кровоизлияние . Опухоль тоже возможна . 

Отличный   просмотр,    объем- Воздух) 🌹


 

@Юнона

Скрытый текст


23.02.2026 в 17:13, Юнона сказал:

Без карт

Травмы нет.

Но дышится немного больно, как будто ушиб или бронхит.  оч  близко,  симптоматика   при   пневмотораксе-  и  боль   при  дыхании,  и  одышка.🌺


 

 

Скрытый текст

Пневмоторакс —скопление воздуха в плевральной полости. Это приводит к сдавливанию лёгкого, из-за чего оно не может полностью расправиться при вдохе. В результате нарушается дыхание, а в тяжёлых случаях может возникнуть угроза для жизни.

стрелочкой   указано  коллабированое ( поджатое) легкое  на    стороне  поражения.

пидец.jpg

Дамы,  благодарю  за   участие    в    задании  и   отличные   ответы)

IMPERARE SIBI MAXIMUM IMPERIUM EST - Власть над собой - высшая власть.

Призови свою тьму, прислушайся к ней, испей от нее и пройди сквозь нее..

Ссылка на сообщение
Поделиться на других сайтах

Присоединяйтесь к обсуждению

Вы можете опубликовать сообщение сейчас, а зарегистрироваться позже. Если у вас есть аккаунт, войдите в него для написания от своего имени.
Примечание: вашему сообщению потребуется утверждение модератора, прежде чем оно станет доступным.

Гость
Ответить в тему...

×   Вставлено в виде отформатированного текста.   Восстановить форматирование

  Разрешено не более 75 эмодзи.

×   Ваша ссылка была автоматически встроена.   Отобразить как ссылку

×   Ваш предыдущий контент был восстановлен.   Очистить редактор

×   Вы не можете вставить изображения напрямую. Загрузите или вставьте изображения по ссылке.


×
×
  • Создать...

Важная информация

Чтобы сделать этот веб-сайт лучше, мы разместили cookies на вашем устройстве. Вы можете изменить свои настройки cookies, в противном случае мы будем считать, что вы согласны с этим. Политика конфиденциальности